Call Us: 765-644-1000
Smile Gallery
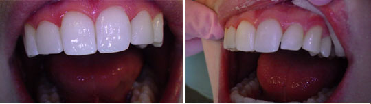
Here are some images from patients who recieved Composite Veneers in our office
Patient 1



Patient 2



Here are some images from patients who recieved Composite Veneers in our office
Patient 1



Patient 2


